Histologia y Toxicologia
Histologia

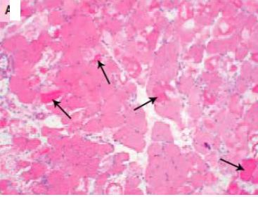
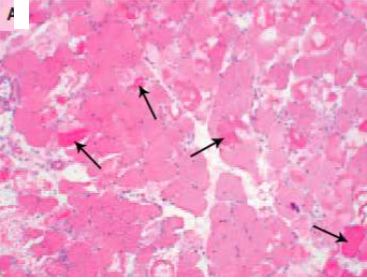
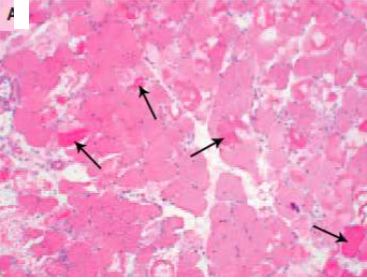
Las flechas te muestran en rojo la necrosis muscular.
En el lado derecho de esta muestra histológica, el edema es fácilmente visible.
Toxicologia


